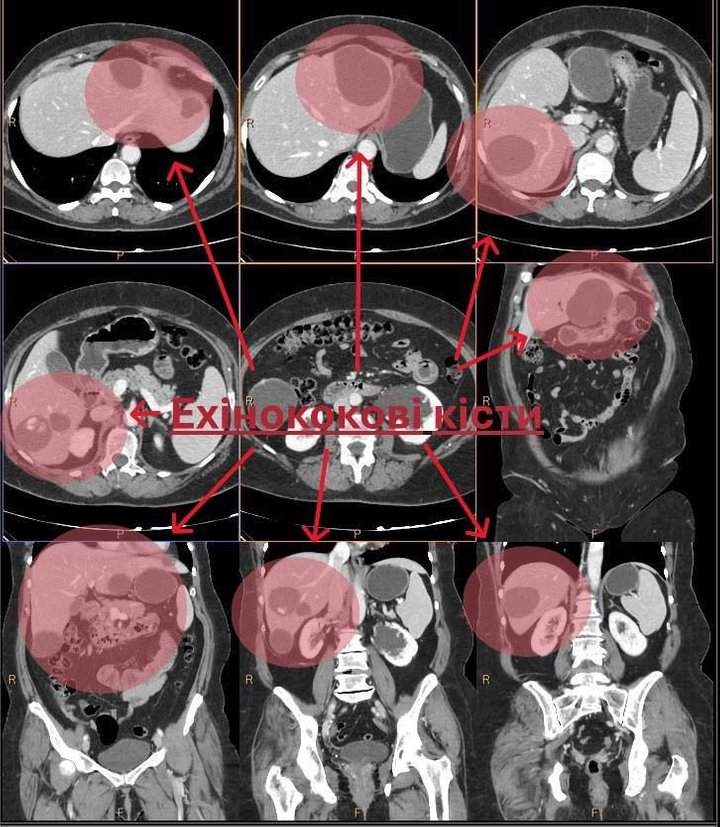
Пацієнтку з паразитарним ураженням печінки прооперували у Рівненській обласній клінічній лікарні. Жінка звернулася до медиків зі скаргами на загальну слабкість, підвищену температуру й відчуттям важкості у правому підребер’ї. У неї виявили кісти, що утворилися внаслідок зараження личинками стрічкового червʼяка.
Як повідомили 15 серпня на сторінці медзакладу у фейсбуці, жінка звернулася до лікарів із низкою скарг, зокрема, на загальну слабкість, температуру, відчуття важкості у підребер’ї та животі. Після ретельного обстеження у печінці пацієнтки виявили ехінококові кісти – доброякісні паразитарні новоутворення, які з’являються в організмі людини внаслідок зараження личинками стрічкового червʼяка.
(3).jpg)
«Єдиним шляхом допомогти жінці було хірургічне втручання. Команда лікарів виконала операцію лапароскопічним методом. Завдяки спільній роботі вдалося повністю усунути патологічні вогнища та зберегти здорову тканину печінки. Пацієнтка почувається добре та перебуває на етапі відновлення», – повідомляють у лікарні.

Додамо, що ехінококові кісти формуються при інфікуванні організму личинкою гельмінта. Це може статися:
через контакт з тваринами, зокрема собаками;
при вживанні немитих овочів, фруктів або м’яса без належної термічної обробки;
через недотримання гігієни – яйця гельмінтів можуть бути у ґрунті, водоймах, на траві.
Zaxid.net





