Операцію успішно провела команда нейрохірургів Центру дитячої медицини, повідомляє «Охматдит».
Лікарям вдалося повністю видалити новоутвір, зберігши життя та здоров’я дитини.
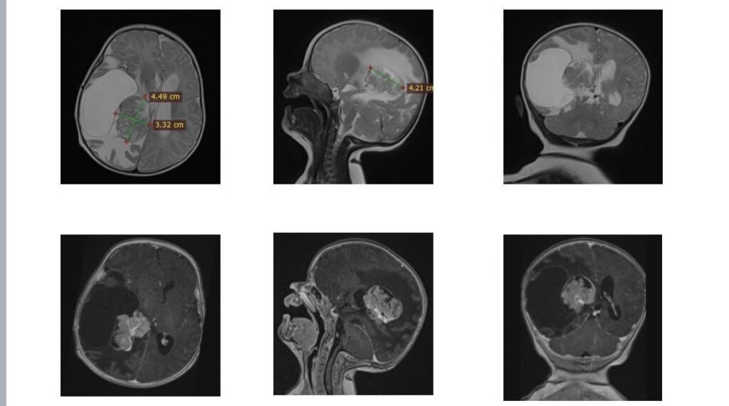
Як розповів керівник Клініки дитячої нейрохірургії Михайло Ловга, втручання було пов’язане з високими ризиками. На момент операції Олівія важила близько шести кілограмів, а пухлина знаходилася в зоні судинного сплетення з інтенсивним кровопостачанням та поблизу ділянки мозку, що відповідає за рухи. Це значно ускладнювало роботу хірургів і вимагало максимальної точності.
Перед операцією медики детально пропрацювали всі можливі сценарії розвитку подій, підготували запас донорської крові, спеціальні гемостатичні матеріали та залучили суміжних фахівців на випадок ускладнень.
Втручання тривало довше, ніж зазвичай. Лікарі поетапно контролювали крововтрату та вкрай обережно видаляли пухлину, аби не пошкодити рухові зони мозку. Такі операції можливі лише за умов інтраопераційного моніторингу та злагодженої роботи команди нейрохірургів, нейрофізіологів, анестезіологів і операційних медсестер.
Нині маленька Олівія почувається добре. Дівчинка активно розвивається, добре їсть, агукає та усміхається. За словами мами, усі навички, які дитина мала до операції, повністю відновилися, а також з’явилися нові — відповідно до віку.








