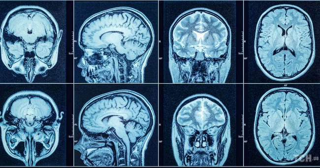
Нейрохірурги пояснюють: під час МРТ-сканування вас попросять лягти у довгий відкритий тунель, який має назву МРТ-сканер. Він використовує радіохвилі, які відбиваються від молекул жиру та води у вашому тілі. Ці сигнали надсилаються на комп’ютер для створення зображення ураженої ділянки. МРТ використовується, щоб подивитися стан м’яких тканин. Наприклад, спинний мозок, нерви, зв’язки або різні стенози.
При комп’ютерній томографії вам доведеться лягти на рухомий стіл, який проведе вас через круглий КТ-сканер. Цей апарат використовує рентгенівські промені, щоб отримати зображення поперечних перерізів певних частин тіла під різними кутами. Потім ці 2D-зображення надсилаються на комп’ютер, де вони перетворюються на 3D-зображення. КТ в нейрохірургії використовується для того, щоб побачити кістки черепа і хребта, наприклад, інсульти та різні гострі стани.
Лікарі наголошують: КТ — це той самий рентген, але набагато потужніший, це — опромінення. МРТ працює інакше: у ній реєструються атоми водню і вона безпечніша, тож МРТ можна робити стільки разів, скільки необхідно.
Причини проходження МРТ можуть бути такими: розірвані зв’язки; проблеми з м’якими тканинами, хребтом чи нервами; запалення.
Причини для проведення КТ такі: екстрена діагностика,оскільки вона дає швидші результати; зламані кістки; згустки крові; травми внутрішніх органів; внутрішня кровотеча; пухлини; розвиток раку.
МРТ-сканування зазвичай коштує дорожче, ніж КТ, і надає більш детальні зображення. Але справа не в тому, що один метод кращий за інший, а скоріше — який метод краще відповідає конкретним потребам пацієнта.





