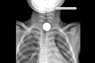
У Рівному дитячий хірург Максим Красько успішно видалив монету, яка застрягла у…
Сьогодні вранці область знову опинилася під ударом ворожих безпілотників. Мешканці Рівного та Рівненського району чули потужний вибух у тому ж…
Депутати Рівненської міської ради під час палких дискусій у сесійній залі нерідко наголошують, що працюють для виборців і не отримують…
Сьогодні Рівненська область знову опинилася під атакою ворожих безпілотників. Як повідомив голова Рівненської ОВА Олександр Коваль, завдяки професійній та злагодженій…
Увійдіть у свій обліковий запис