У Рівному дитячий хірург Максим Красько успішно видалив монету, яка застрягла у стравоході дитини.
Про це лікар повідомив на своїй сторінці у фейсбуці, нагадавши батькам про небезпеку сторонніх предметів у травному тракті дітей.
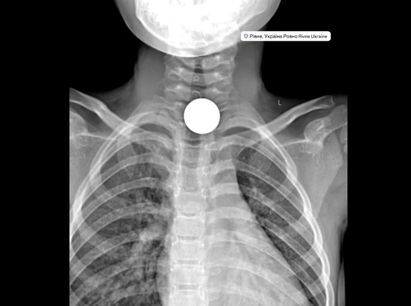
Під час обстеження рентген-знімок показав, що монета перебувала у верхньому відділі стравоходу, в ділянці входу до нього. Такий стан є потенційно небезпечним і потребує негайного медичного втручання.
За словами лікаря, діти нерідко ковтають дрібні предмети: монети, батарейки чи інші деталі, які часто непомітні для дорослих. Сторонні тіла в шлунково-кишковому тракті можуть становити серйозну загрозу для здоров’я та життя.
Медики наголошують: у разі підозри, що дитина проковтнула сторонній предмет, або за появи тривожних симптомів — болю, слинотечі, утрудненого ковтання, блювання чи кровотечі — необхідно негайно звертатися по медичну допомогу.
Лікарі закликають батьків не зволікати з візитом до фахівців, адже своєчасне звернення може запобігти важким ускладненням.





